首页
人工智能识别出三种类型的多发性硬化症
返回

人工智能识别出三种类型的多发性硬化症

2022-12-19 科技信息 By:佚名
最佳答案人工智能 (AI) 的最大优势在于它能够分析大量数据并以一种对人们来说不是很明显的方式对其进行分类。例如,现在人工智能在最近的 UCL 研究中确定了多发性硬化症 (MS) 的三种新亚型。科学家认为这将有助于更准确地对患者进行分类。目前,MS 患者分为进行性和复发组。换句话说,这些类别不是基于症状...

人工智能 (AI) 的最大优势在于它能够分析大量数据并以一种对人们来说不是很明显的方式对其进行分类。例如,现在人工智能在最近的 UCL 研究中确定了多发性硬化症 (MS) 的三种新亚型。科学家认为这将有助于更准确地对患者进行分类。

目前,MS 患者分为进行性和复发组。换句话说,这些类别不是基于症状的,而是非常广泛的。MS 是一种致残条件,它可以有很多面孔。它影响着世界上数百万人,并不是每个人都经历相同的症状。

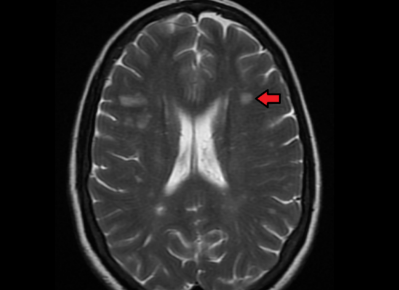
研究人员使用一种名为 SuStaIn 的人工智能工具来查看 6,322 名 MS 患者的 MRI 脑部扫描结果。SuStaIn 在无人监督的情况下工作,并在一段时间内设法在这些脑部扫描中识别出三种以前未知的模式。科学家根据 MRI 扫描中最早出现的异常将它们命名为 MS 的三种亚型——皮质主导、外观正常的白质主导和病变主导。科学家在另一轮 SuStaIn 研究中证实了这些发现,该研究分析了一个由 3,068 名患者组成的独立独立队列。AI 系统能够根据新定义的 MS 亚型对它们进行分类。

该研究的主要作者之一艾伦·汤普森说:“现在,在人工智能和大型数据集的帮助下,我们迈出了对潜在疾病机制的更好理解的第一步,这可能会为我们当前的临床分类提供信息。这是一项了不起的成就,有可能成为真正的游戏规则改变者,为疾病演变和临床试验患者的选择提供信息。”

这是 MS 研究的一项巨大成就,可能对治疗产生影响。事实上,科学家认为这些亚型可以帮助预测 MS 残疾进展和对治疗的反应。根据这些亚型,可以更准确地开发新的治疗方法。最后,这些发现可能有助于未来的 MS 研究,因为科学家们正试图了解是什么推动了 MS 的进展。在这种情况下,人工智能可以用作诊断工具,只需要相同的 MRI 扫描即可准确理解或帮助每个特定患者的最佳方法。

MS 亚型的准确和明确分类将导致更准确的治疗。MS 是一种神经系统疾病,是导致年轻人残疾的最常见原因之一。有多种治疗选择,但它们并非在每种情况下都能很好地发挥作用。如果疾病被及早诊断出来会有所帮助,因此请注意早期症状——刺痛、麻木、失去平衡和视力问题。

猜你喜欢
dnf卡片怎么合成在哪里(dnf卡片合成在哪)

dnf卡片怎么合成在哪里(dnf卡片合成在哪)

12-18 0 阅读
大青沟属于哪里(大青沟)

大青沟属于哪里(大青沟)

12-18 0 阅读
帕金森有什么症状(什么是帕金森病)

帕金森有什么症状(什么是帕金森病)

12-18 0 阅读
兰州石油化工学校(关于兰州石油化工学校的介绍)

兰州石油化工学校(关于兰州石油化工学校的介绍)

12-19 0 阅读
谷歌Nest音频评测

谷歌Nest音频评测

12-18 0 阅读
我们来了2(关于我们来了2的介绍)

我们来了2(关于我们来了2的介绍)

12-19 0 阅读
热门推荐
dnf卡片怎么合成在哪里(dnf卡片合成在哪)

dnf卡片怎么合成在哪里(dnf卡片合成在哪)

12-18 0 阅读
大青沟属于哪里(大青沟)

大青沟属于哪里(大青沟)

12-18 0 阅读
帕金森有什么症状(什么是帕金森病)

帕金森有什么症状(什么是帕金森病)

12-18 0 阅读
兰州石油化工学校(关于兰州石油化工学校的介绍)

兰州石油化工学校(关于兰州石油化工学校的介绍)

12-19 0 阅读
谷歌Nest音频评测

谷歌Nest音频评测

12-18 0 阅读
我们来了2(关于我们来了2的介绍)

我们来了2(关于我们来了2的介绍)

12-19 0 阅读
tuiii什么意思(tui什么意思网络语言)

tuiii什么意思(tui什么意思网络语言)

12-18 0 阅读
考军校身高180体重多少标准(身高180体重多少标准)

考军校身高180体重多少标准(身高180体重多少标准)

12-18 0 阅读
了凡四训 净空法师(关于了凡四训 净空法师的介绍)

了凡四训 净空法师(关于了凡四训 净空法师的介绍)

12-18 0 阅读
电视是等离子好还是液晶的好啊(等离子电视和液晶电视哪个好)

电视是等离子好还是液晶的好啊(等离子电视和液晶电视哪个好)

12-18 0 阅读