首页
AI可从肿瘤形态预测乳腺癌治疗效果
返回

AI可从肿瘤形态预测乳腺癌治疗效果

2022-12-19 科技信息 By:佚名
最佳答案人工智能在诊断医学方面具有巨大的潜力。它可以非常快速地处理大量数据,注意到人眼无法察觉的细节。现在,赫尔辛基大学的科学家们已经证明了使用人工智能来预测靶向乳腺癌治疗效果的可能性。人工智能可用于发现肿瘤样本中的隐藏模式。人工智能已经被用于诊断癌症并跟踪其进展。现在,科学家们开发...

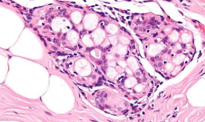
人工智能在诊断医学方面具有巨大的潜力。它可以非常快速地处理大量数据,注意到人眼无法察觉的细节。现在,赫尔辛基大学的科学家们已经证明了使用人工智能来预测靶向乳腺癌治疗效果的可能性。人工智能可用于发现肿瘤样本中的隐藏模式。

人工智能已经被用于诊断癌症并跟踪其进展。现在,科学家们开发了一种工具,可以用ERBB2(促进癌细胞生长的癌蛋白)检测乳腺癌病例的典型肿瘤形态特征。这项技术的实用性非常明显——ERBB2蛋白过度表达的患者可以从针对ERBB2受体的单克隆抗体治疗中受益。正确识别它们可以导致更明智的治疗选择和更好的结果。

芬兰的科学家表明,人工智能算法可以直接从肿瘤形态学中学习预测肿瘤ERBB2状态的模式。该研究的作者之一德米特里·比奇科夫(DmitriiBychkov)解释说:“我们的结果表明,肿瘤的形态特征包含有关疾病生物学的大量信息,可以通过机器学习方法提取。这些有价值的数据可以帮助临床决策”。研究人员用来自乳腺癌患者的真实组织样本进行了测试,发现人工智能非常擅长确定哪些患者更有可能获得更有利的疾病结果。这将非常有助于做出与治疗方案相关的选择。

此外,科学家们认为,基于人工智能的技术不仅可以补充当前的分子诊断方法,而且有朝一日可能会改善一些靶向癌症治疗的选择。科学家们正在讨论考虑到人体所有不同医学特征的定制疗法。患者是不同的,所以治疗应该是不同的。基于人工智能的方法可以帮助为每个病例选择最合适的治疗方法,同时快速高效。

人工智能将在医学中越来越普遍。尽管医生和其他医疗保健专业人员的重要性永远不会降低,但基于人工智能的解决方案可以帮助他们注意到使用传统方法难以发现的小细节和模式。希望AI软件能够很快变得更加完善并在全球范围内可用。

猜你喜欢
dnf卡片怎么合成在哪里(dnf卡片合成在哪)

dnf卡片怎么合成在哪里(dnf卡片合成在哪)

12-18 0 阅读
大青沟属于哪里(大青沟)

大青沟属于哪里(大青沟)

12-18 0 阅读
帕金森有什么症状(什么是帕金森病)

帕金森有什么症状(什么是帕金森病)

12-18 0 阅读
兰州石油化工学校(关于兰州石油化工学校的介绍)

兰州石油化工学校(关于兰州石油化工学校的介绍)

12-19 0 阅读
谷歌Nest音频评测

谷歌Nest音频评测

12-18 0 阅读
我们来了2(关于我们来了2的介绍)

我们来了2(关于我们来了2的介绍)

12-19 0 阅读
热门推荐
dnf卡片怎么合成在哪里(dnf卡片合成在哪)

dnf卡片怎么合成在哪里(dnf卡片合成在哪)

12-18 0 阅读
大青沟属于哪里(大青沟)

大青沟属于哪里(大青沟)

12-18 0 阅读
帕金森有什么症状(什么是帕金森病)

帕金森有什么症状(什么是帕金森病)

12-18 0 阅读
兰州石油化工学校(关于兰州石油化工学校的介绍)

兰州石油化工学校(关于兰州石油化工学校的介绍)

12-19 0 阅读
谷歌Nest音频评测

谷歌Nest音频评测

12-18 0 阅读
我们来了2(关于我们来了2的介绍)

我们来了2(关于我们来了2的介绍)

12-19 0 阅读
tuiii什么意思(tui什么意思网络语言)

tuiii什么意思(tui什么意思网络语言)

12-18 0 阅读
考军校身高180体重多少标准(身高180体重多少标准)

考军校身高180体重多少标准(身高180体重多少标准)

12-18 0 阅读
了凡四训 净空法师(关于了凡四训 净空法师的介绍)

了凡四训 净空法师(关于了凡四训 净空法师的介绍)

12-18 0 阅读
电视是等离子好还是液晶的好啊(等离子电视和液晶电视哪个好)

电视是等离子好还是液晶的好啊(等离子电视和液晶电视哪个好)

12-18 0 阅读