首页
MRI可以帮助预测多发性硬化症的进展
返回

MRI可以帮助预测多发性硬化症的进展

2022-12-19 科技信息 By:佚名
最佳答案多发性硬化症是一种脱髓鞘疾病,其特征是大脑神经细胞绝缘层受损。多发性硬化症没有已知的治愈方法,长期结果也难以预测。MS是影响中枢神经系统的最常见的免疫介导疾病,全世界有2-250万人患有这种疾病。现在,UCL领导的一项新研究发现,早期MRI扫描可用于预测疾病的进展。预测多发性硬化症的结果非...

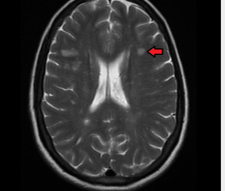
多发性硬化症是一种脱髓鞘疾病,其特征是大脑神经细胞绝缘层受损。多发性硬化症没有已知的治愈方法,长期结果也难以预测。MS是影响中枢神经系统的最常见的免疫介导疾病,全世界有2-250万人患有这种疾病。现在,UCL领导的一项新研究发现,早期MRI扫描可用于预测疾病的进展。

预测多发性硬化症的结果非常困难。女性,尤其是那些早期患MS的女性,通常比男性面临更少的不良后果。据估计,MS患者的预期寿命比健康人短5-10年,但其中40%的人能活到70岁。MRI通常用于诊断疾病,但现在科学家认为它也可用于预测其进展。这可以帮助为每个人创建量身定制的治疗方案。

该研究的作者之一苏珊·科尔哈斯(SusanKohlhaas)博士说:“多发性硬化症会损害您体内的神经,使您难以进行走路、说话、吃饭和思考等日常活动。每个人的情况也不同,目前还没有一致的方法来预测MS可能采取的课程。”

科学家们发现了164名患有临床孤立综合征(CIS)的人,并对他们进行了15年的跟踪调查。CIS患者通常也会继续患有MS。经过15年的研究,科学家们找到了参与者并评估了他们的残疾程度。57%患有复发型多发性硬化症,15%患有继发性进展型,27%仍患有CIS,1%患有其他疾病。研究人员查看了这些人在长期研究期间收集的MRI,发现早期脊髓损伤表明患者更有可能继续发展为继发性进行性多发性硬化症。换句话说,MRI分析允许预测每个参与者未来的残疾水平。

能够准确预测MS的进展极为重要。这有助于制定更有效的治疗计划,而且患者自己也知道他们在不久的将来可以期待什么。大量研究表明,早期强化治疗可带来更好的MS预后。然而,当你不知道会发生什么时,做出这样的决定是很困难的。MRI测试可以帮助使这些预测准确。

MS患者已经在使用MRI进行测试。现在科学家们必须制定指导方针,让医生知道该看什么以及会导致什么特定症状。希望这将帮助全球数百万MS患者。

猜你喜欢
dnf卡片怎么合成在哪里(dnf卡片合成在哪)

dnf卡片怎么合成在哪里(dnf卡片合成在哪)

12-18 0 阅读
大青沟属于哪里(大青沟)

大青沟属于哪里(大青沟)

12-18 0 阅读
帕金森有什么症状(什么是帕金森病)

帕金森有什么症状(什么是帕金森病)

12-18 0 阅读
兰州石油化工学校(关于兰州石油化工学校的介绍)

兰州石油化工学校(关于兰州石油化工学校的介绍)

12-19 0 阅读
谷歌Nest音频评测

谷歌Nest音频评测

12-18 0 阅读
我们来了2(关于我们来了2的介绍)

我们来了2(关于我们来了2的介绍)

12-19 0 阅读
热门推荐
dnf卡片怎么合成在哪里(dnf卡片合成在哪)

dnf卡片怎么合成在哪里(dnf卡片合成在哪)

12-18 0 阅读
大青沟属于哪里(大青沟)

大青沟属于哪里(大青沟)

12-18 0 阅读
帕金森有什么症状(什么是帕金森病)

帕金森有什么症状(什么是帕金森病)

12-18 0 阅读
兰州石油化工学校(关于兰州石油化工学校的介绍)

兰州石油化工学校(关于兰州石油化工学校的介绍)

12-19 0 阅读
谷歌Nest音频评测

谷歌Nest音频评测

12-18 0 阅读
我们来了2(关于我们来了2的介绍)

我们来了2(关于我们来了2的介绍)

12-19 0 阅读
tuiii什么意思(tui什么意思网络语言)

tuiii什么意思(tui什么意思网络语言)

12-18 0 阅读
考军校身高180体重多少标准(身高180体重多少标准)

考军校身高180体重多少标准(身高180体重多少标准)

12-18 0 阅读
了凡四训 净空法师(关于了凡四训 净空法师的介绍)

了凡四训 净空法师(关于了凡四训 净空法师的介绍)

12-18 0 阅读
电视是等离子好还是液晶的好啊(等离子电视和液晶电视哪个好)

电视是等离子好还是液晶的好啊(等离子电视和液晶电视哪个好)

12-18 0 阅读